L’innovation au service de votre sourire
Au cabinet, nous plaçons l’innovation au cœur de notre pratique. Grâce aux dernières technologies numériques, nous vous proposons des traitements orthodontiques plus précis, confortables et efficaces, tout en optimisant votre expérience et votre bien-être tout au long du suivi.
Scanner 3D intra-buccal
Une précision exceptionnelle pour votre traitement
Le scanner intra-buccal capture des images 3D haute définition de votre cavité buccale, permettant de créer des modèles numériques précis. Cette technologie assure un suivi plus détaillé, un meilleur confort et des résultats optimisés pour chaque patient.


Radiographie 3D numérique
Analyse complète et sécurisée
Notre appareil de radiographie 3D réalise des clichés panoramiques et téléradiographiques de haute qualité, tout en réduisant l’exposition aux radiations de 80 % par rapport aux équipements classiques. Cette technologie permet un diagnostic précis et sûr de votre dentition et de votre structure faciale.

Cône Beam : imagerie 3D ultra-précise
Le cabinet dispose désormais d’un appareil Cone Beam, une technologie de radiographie 3D avancée qui permet d’obtenir une vision complète et précise de votre dentition, des mâchoires et des structures osseuses environnantes.
Grâce au Cone Beam, le praticien peut :
- Évaluer la position exacte des dents et des racines,
- Planifier avec précision les interventions orthodontiques ou chirurgicales,
- Détecter d’éventuelles anomalies osseuses ou pathologies,
- Réduire le nombre de radiographies nécessaires grâce à une imagerie globale en un seul examen.
Cette technologie contribue à un traitement plus sûr, plus efficace et parfaitement adapté à chaque patient.
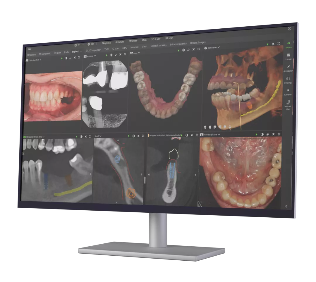
Logiciel de modélisation 3D
Planification précise et personnalisée
Grâce à notre logiciel de modélisation 3D associé au scanner intra-buccal, chaque traitement est visualisé et planifié avec précision. Cela permet :
- Une meilleure compréhension : visualisation 3D et explication détaillée des étapes du traitement.
- Conception numérique avancée : optimisation des séquences d’aligneurs pour un ajustement parfait.
- Modèles 3D sur mesure : adaptés à chaque patient et compatibles avec l’impression 3D.
Chaque étape de votre traitement devient ainsi plus transparente, personnalisée et performante.

Logiciel de modélisation 3D
Imprimante 3D
Notre imprimante 3D professionnelle produit des modèles dentaires haute définition pour les aligneurs et appareils intra-buccaux. Les impressions sont réalisées en PLA, un matériau bio-compatible, biodégradable et issu de sources renouvelables.

Plieuse numérique
La plieuse numérique de fil de contention permet de réaliser l’étape finale du traitement orthodontique avec une précision maximale. Associée aux images haute définition du scanner 3D, elle assure des fils de contention parfaitement adaptés à chaque patient.

